 
Comprehensive Cardiac Care

NovaCardio is a comprehensive cardiac imaging solution that streamlines cardiology workflows. It offers powerful analysis tools, integrated viewers, and seamless interoperability with EMR/EHR systems. Whether deployed as a standalone workstation or added to your NovaPACS EI solution, NovaCardio provides vendor-neutral, multi-modality viewing, making it easy for cardiologists to access patient data without mastering multiple systems. Built and fully supported by Novarad, it is the all-in-one CPACS system designed to enhance efficiency in cardiac care.
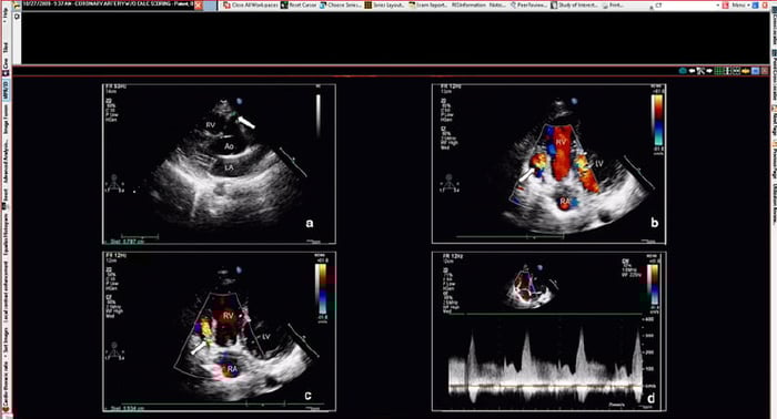
Explore 4D motion and time-domain imaging for cardiac studies, including congenital heart disease (CHD), aortic aneurysm, aortic stenosis, pulmonary hypertension, and cardiac valvular disease.
Key Features

Single-Click Workflows
Prior studies are automatically displayed for quick reference. Smart report building and diagnostic tools enhance accuracy and ease of use.
Motion Cardiac Images
Universal Image Viewer
Structured Reporting
Supported Cardiology PACS Specialties

Echocardiography
 View heart structures and motion confidently with a single viewer that supports all echocardiography needs, including standard, stress echo, and additional measurements.
View heart structures and motion confidently with a single viewer that supports all echocardiography needs, including standard, stress echo, and additional measurements.
        Cardiac MRI
 Perform advanced cardiac analysis with features like ejection fraction, cardiac perfusion analysis, multi-slice multi-phase subtraction, and time-domain rate of enhancement imaging.
Perform advanced cardiac analysis with features like ejection fraction, cardiac perfusion analysis, multi-slice multi-phase subtraction, and time-domain rate of enhancement imaging.Cardiac CTA
 Achieve precise results with AI-powered segmentation, calcium scoring, vessel metrics, and comprehensive vessel analysis.
Achieve precise results with AI-powered segmentation, calcium scoring, vessel metrics, and comprehensive vessel analysis.Vascular Ultrasound
 Easily evaluate blood flow, track blockages, and view vascular structures with customizable layouts, advanced measurement tools, and auto-launch of current and prior images.
Easily evaluate blood flow, track blockages, and view vascular structures with customizable layouts, advanced measurement tools, and auto-launch of current and prior images.
        Nuclear Medicine
 Non-invasively display raw and post-processed nuclear medicine studies to visualize the size and location of heart attacks.
Non-invasively display raw and post-processed nuclear medicine studies to visualize the size and location of heart attacks.
        Interventional Invasive Cardiology
 View and manipulate static and motion images from invasive procedures with clarity and accuracy, featuring image inversion, digital subtraction, and cinematic capture.
View and manipulate static and motion images from invasive procedures with clarity and accuracy, featuring image inversion, digital subtraction, and cinematic capture.
        Electrophysiology
 Support electrophysiology by visualizing the heart's electrical activity, evaluating rhythm disturbances, and facilitating ablation and device implantation.
Support electrophysiology by visualizing the heart's electrical activity, evaluating rhythm disturbances, and facilitating ablation and device implantation.
        ECG/EKG
 Experience our best-in-class ECG viewer, featuring single-click report signing, machine diagnosis, overlay comparisons, and intuitive visual management. Maximize screen real estate with horizontal and vertical measurements, and enjoy automatic launch for streamlined efficiency.
Experience our best-in-class ECG viewer, featuring single-click report signing, machine diagnosis, overlay comparisons, and intuitive visual management. Maximize screen real estate with horizontal and vertical measurements, and enjoy automatic launch for streamlined efficiency.
        Pediatric Cardiology
 Our pediatric cardiology PACS system emphasizes congenital abnormalities, featuring full Z-score calculations and congenital diagrams for optimal communication of anomalies.
Our pediatric cardiology PACS system emphasizes congenital abnormalities, featuring full Z-score calculations and congenital diagrams for optimal communication of anomalies.
        %20(3).png?width=1555&height=462&name=Novarad%20EHS%20Logo%20Full%20Color%20(1)%20(3).png)
